Brain metastasis is a growth that appears in the brain from cancer that originates elsewhere in the body. A brain metastasis is not the same thing as a primary brain tumor because those begin in the brain. While any cancer can spread to the brain, the most common cancers that cause metastases are lung, breast, and melanoma. Others that can spread to the brain include colon cancer, renal cell carcinoma, and gynecologic cancers.”
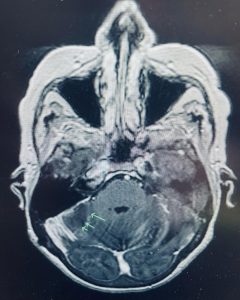
This female patient presented with dizziness and difficulty walking with a past history of colon cancer. Her brain MRI showed a metastatic tumor deep in her cerebellum. The pressure on the cerebellum was causing her balance issues. She had a craniotomy to remove the tumor. Microsurgery and stereotactic navigation were useful in this case given the tumor’s location deep in the brain. The tumor was completely removed (second picture, arrows), and her neurologic difficulties all resolved.








