Sometimes the very best technology that we have is not the newest. Awake craniotomies have been performed safely for decades and maybe even centuries (if you count trephinations). Awake craniotomy is a simple and elegant procedure that has become even better with modern pharmacology. The core principles of the procedure have remained the same since the early twentieth century, however.
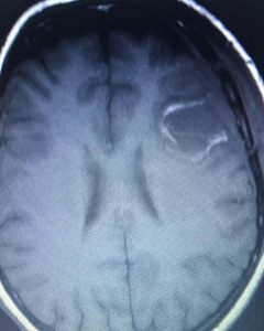
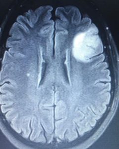
Local anesthesia is one of the oldest forms of anesthesia and is adequate for opening the skull to remove a tumor. A patient with a tumor in the left frontal or temporal region such as this young lady that I operated upon recently can be monitored for their speech function while the tumor is removed under local anesthesia.








